Research and Collaboration

Research

Research endeavors are primarily supported through association with the Mind-Body Lab and a collaboration with the Affective Neuroscience and Development Lab (AND).

If you are interested in other research, please email using the contact information at the bottom of the page.

Projects

Original validation study

Original validation

Now being re-analyzed for personality detection.

Resting state fMRI emotion tracking

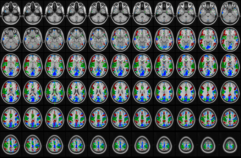
Resting state fMRI emotion tracking

The three dimensions demonstrate strong, consistent, and fully dissociable brain signatures that replicate across participants. Motivation (Red) reliably engages frontostriatal and executive networks; Valence (Blue) shows a distinct rightward pattern in sensory–limbic circuitry; and Activation (Green) produces robust suppression of posterior default-mode regions alongside clear salience-network modulation.

Aggression and friendliness detection

Aggression and friendliness detection

Successful prediction of aggressive responses 2 seconds before occurrence and a meaningful warning indicator 6 seconds before. In addition, responses to faces show measurement detection within one second.

Sleep Analysis

Reliable identification of sleep-stage transitions from continuous autonomic and movement dynamics, with stable prediction during long homogeneous periods and rapid detection of stage shifts. Achieved on a simple functional model without subject leakage, night calibration, or EEG-based corrections.

Sleep analysis

Interested in Research Collaboration?

We're always looking to collaborate with researchers, labs, and institutions. Get in touch to discuss potential research partnerships.

Contact Us About Research